医療法人 月星歯科クリニック

愛知県 海部郡 蟹江町 歯科 外傷 インプラント 自家歯牙移植 歯のけが セミナー

〒497-0050
愛知県海部郡蟹江町学戸6-8
Tel&Fax:0567-95-6666
TOP 院長紹介 医院紹介 設備紹介 外傷歯科 インプラント 自家歯牙移植 矯正歯科 セミナー情報
歯の移植

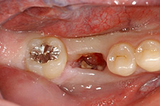
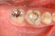
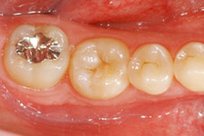
適切な条件がそろえば、歯の移植が可能です。歯の移植とは、治療することができない歯を抜いて、その場所へ本人の親知らずなどの歯を移す治療です。例えば、下のパノラマエックス線写真は18歳の男子です。右下の第一大臼歯が割れて痛みを伴って来院されました。この歯の保存できないと判断して、その歯を抜歯し,後ろにあるまだ生えていない親知らずをそこへ移植しました。移植の適切な条件とは、患者さん年齢が概ね40歳以下であること、口腔内に適切なドナー歯(主に親知らず)があること、移植歯(ドナー歯)と移植部位(受容側)の大きさが適合すること、などです。

治療前:第一大臼歯が割れてしまっていて治療することが困難です。

 

第一大臼歯の抜歯後2週間で移植を行いました。

 

移植のために抜歯された右下の親知らず。歯根がまだ完成していない若い歯です。

移植直後

 

移植直後。歯根がまだ完成していない歯では、根の先が開いていることに気づきます。

移植後4年。親知らずが第一大臼歯の代わりを担っています。

 

4年後。移植後に根が少し成長しているのが分かります。歯の神経もつながっています。

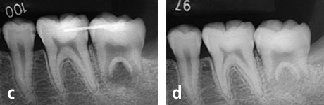
第二大臼歯部への親知らずの移植

a、b: 治療前。16歳、少女。
第二大臼歯が吸収を受けており保存が不可能でした。そこで、隣接する親知らずを同部へ移植することにしました。

c : 移植直後
d : 移植後3ヶ月

e、f : 移植後6ヶ月

g、h : 移植後3年

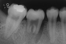
先天的小臼歯欠損部への親知らずの移植

17歳、少女。左下の第二小臼歯が生まれつきありません。そこで、右下親知らずの移植を行いました。この症例では、左下の親知らずでもドナー歯として大丈夫ですが、抜歯しやすい右下を選びました。

治療前。
乳歯がまだ残っています。

移植直後

移植後8ヶ月

移植後3年

移植後6年

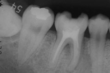
歯根完成歯親知らずの移植

左:治療前のCT画像。
右:治療前の口腔内。
24歳、女性。右下第二大臼歯部(受容側)へ親知らず(ドナー歯)を移植してほしいという希望で来院されました。
ドナー歯はすでに歯根が完成しています。このような場合、移植後に歯髄(神経)の治療が必要です。

左:移植のために抜歯された親知らず(ドナー歯)。
右:移植直後。

左:移植直後のエックス線写真。
右:移植後1ヶ月。
根管治療直後。歯根が完成している歯を移植歯として用いた場合、歯の神経はつながらないので、このように神経の治療が必要になります。

移植後4ヶ月。
移植歯はコンポジットレジンで修復が行われています。

△ このページのトップへ