医療法人 月星歯科クリニック

愛知県 海部郡 蟹江町 歯科 外傷 インプラント 自家歯牙移植 歯のけが セミナー

〒497-0050
愛知県海部郡蟹江町学戸6-8
Tel&Fax:0567-95-6666
TOP 院長紹介 医院紹介 設備紹介 外傷歯科 インプラント 自家歯牙移植 矯正歯科 セミナー情報
インプラントによる治療
 

歯のインプラント治療は、天然歯を削らずに歯の欠損を治す最良の方法です。術式はいたって簡単です。

適切な検査のあと、歯のないところの顎の骨の中にフィクスチャーと呼ばれる特殊なねじくぎを植立し、
数ヶ月の治癒期間の後に、アバットメントという芯棒をフィクスチャーに装着し、その後に捕綴物を装着します。

治癒の流れは左の動画でもご確認いただけます。
※Windows10には対応しておりません。

上顎側切歯部のインプラント

この症例は、生まれつき上顎の側切歯がない部位をインプラントで治療した例です。

インプラント治療の流れ

上顎前歯部のインプラント

この症例は、折れてしまった前歯をインプラントで治療した例です。

インプラント治療の流れ

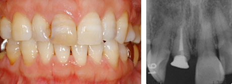
治療前:右上前歯の破折で患者さんは来院されました。

インプラント治療の流れ

残念ながら、患歯は治療することができず抜歯になりました。以前は、このような状態をブリッジで治していましたが、きれいなとなりの歯を削ることなくこの状態を治す方法として、インプラントは優れています。

インプラント治療の流れ

治療後:天然歯と見分けがつかないぐらいに治っています。

上顎大犬歯・小臼歯部のインプラント

この症例は、永久歯が2本生まれつきない部位をインプラントで治療した例です。

インプラント治療の流れ

治療前。永久歯の犬歯と小臼歯が生まれつきなく、乳歯が残っています。インプラントで、審美と機能を回復することを患者さんは希望されました。

インプラント治療の流れ

乳歯を2本抜歯し、インプラントを植立しました。右は、植立後4ヵ月のエックス線写真、左は、アバットメント装着時の口腔内写真です。

インプラント治療の流れ

術後6年の状態。機能・審美とも患者さんの満足が得られています。

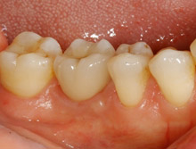
下顎大臼歯部のインプラント

この症例は、保存が困難な第一大臼歯をインプラントで治療した例です。

治療前

 

アバットメントの装着後

8年後

 

8年後

大掛かりなインプラントによる治療

この症例は、すべての歯を失った口腔内をインプラントで治療した例です。

治療前のパノラマエックス線写真。歯がほとんど残っていませんし、残っている歯もほとんど使えません。

 

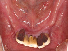
治療前口腔内。残っている下の前歯は重度歯周病で揺れています。審美と機能の改善を患者さんは希望されました。

術前の上顎

 

術前の下顎

上顎は4本のインプラントを植立し、義歯タイプの補綴物をいれます。

 

下顎は6本のインプラント植立し、ブリッジタイプの補綴をいれます。

取り外し可能な義歯

上顎に装着される取り外し可能な義歯。

  固定式のブリッジ

下顎に装着される固定式のブリッジ。

上顎へ義歯を装着した状態

上顎へ義歯を装着した状態

  下顎へブリッジを装着した状態

下顎へブリッジを装着した状態

パノラマエックス線写真

術後のパノラマエックス線写真

  術後の口腔内

術後の口腔内。機能と審美が改善されています。

△ このページのトップへ